UC research examines molecular impact of psychological loss
Study identifies key region of the brain as a molecular target to lessen the impact of loss
Psychological loss can occur when someone loses a job, loses a sense of control or safety or when a spouse dies. Such loss, which erodes well-being and negatively impacts quality of life, may be a common experience but little is known about the molecular process in the brain that occurs because of loss.
New research from the University of Cincinnati explores those mechanisms through a process known as enrichment removal (ER). The study highlights an area of the brain that plays a key role in psychological loss and identifies new molecular targets that may alleviate its impact.
The study was published in the journal Molecular Psychiatry.
The research was led by Marissa Smail, a graduate student in the Department of Pharmacology and Systems Physiology at the UC College of Medicine. She says she’s always been interested in the mechanics underlying psychiatric disorders, in particular what molecular changes happening in the brain make certain symptoms emerge and how those mechanisms can be used to alleviate debilitating conditions.
Marissa Smail, graduate research assistant, UC College of Medicine/Photo/Colleen Kelley/UC Marketing + Brand
“Most research in this field focuses on disorders such as depression and PTSD — very worthy causes but not nearly as common as loss,” Smail says. “We have all lost something and experienced the negative impact of that loss at some point. Using ER to understand the mechanisms driving this extremely common experience is a great question that not only sheds light on how we interact with the world but also has the potential to reveal novel therapeutic targets that may be of widespread benefit.”
The research examined animal models which were provided with an environment that gave them the opportunity to climb and explore and enjoy a communal experience of various toys and shelters for four weeks. The ER subjects were then removed from that environment for an extended period (one month) and researchers used a screen of the brain to look at the impact on the region of the brain with established roles in stress regulation and behavioral adaptation following enrichment removal.
James Herman, PhD, of the Department of Pharmacology and Systems Physiology at the UC College of Medicine/Photo/Colleen Kelley/UC Marketing + Brand
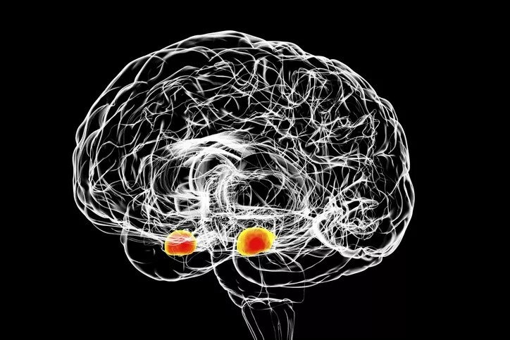
“What appears to happen is that in this key area of brain, the amygdala, the support system becomes overactive,” says James Herman, PhD, associate director of the UC Gardner Neuroscience Institute, and Department Chair and the Flor van Maanen Endowed Chair for Pharmacology and Systems Physiology in the UC College of Medicine and senior author of the study. “Rather than being very [adaptable], and being able to be changed, being able to profit from experience, what ends up happening is the neurons become insulated. As a consequence of that insulation, they’re not able to drive the adaptive behaviors that you would normally see on an everyday basis. It’s not the neurons, it’s the insulators of the neurons that are causing this problem and that’s a very novel finding.”
Herman says, unfortunately, that loss is a major contributor to several mental health related conditions. It’s frequently a trigger for depressive episodes and may contribute to the epidemic of mental health consequences linked to isolation during the COVID-19 pandemic.
Smail says one aspect of the research that she likes is that it is very interdisciplinary and collaborative, and it allowed her to explore a variety of topics and techniques to ultimately identify a novel mechanism that occurs in loss.
“Beginning with an unbiased screen meant that this was a true ‘follow the data’ project,” Smail says. “We did not expect to investigate the brain’s immune cells and supporting structure, respectively, but these endpoints led to several great collaborations and a range of molecular and behavioral experiments to understand their roles.
“The resulting mechanism described in the paper is quite novel and shares several characteristics with loss in humans, leading us to believe it is relevant for understanding this common experience.”
Lead image of the amygdala region of the brain/Kateryna Kon/Getty Images
Next Lives Here
The University of Cincinnati is classified as a Research 1 institution by the Carnegie Commission and is ranked in the National Science Foundation's Top-35 public research universities. UC's graduate students and faculty investigate problems and innovate solutions with real-world impact. Next Lives Here.
Related Stories
‘Designer drug’ shows early neuroprotective signal in acute ischemic stroke
October 28, 2025
Medscape highlighted new trial results led by the University of Cincinnati's Eva Mistry that found an experimental drug shows promise in protecting injured brain cells for patients with acute ischemic stroke.
Meet the young talent reshaping Cincinnati’s startup scene
October 28, 2025
Five University of Cincinnati students were honored for their impactful entrepreneurship on the Cincy Inno Under 25 list. We’ll explain what makes each student – and their startup – stand out.
Is menstrual fluid ‘the most overlooked opportunity’ in women’s health?
October 27, 2025
The Guardian recently reported that period blood has long been thought of as ‘stinky and useless’, but startups are exploring using the fluid to test for a wide range of health conditions — including endometriosis.