Grant funds first-ever population-level study of subdural hematomas
Research aims to develop predictive model to reduce risk of bleeding, heart attacks and strokes
Up to half of all patients with subdural hematomas die or are severely disabled within one year of diagnosis. And although rates of this type of intracranial bleeding are rising in the American population, little research has focused on them.
David Robinson, MD. Photo/UC Health.
The University of Cincinnati Gardner Neuroscience Institute’s David Robinson, MD, is leading the first-ever population-level study of subdural hematoma outcomes in the United States, funded by the National Institute of Neurological Disorders and Stroke.
Robinson said subdural hematomas can be caused by major head traumas such as car accidents, but they are also associated with minor falls in which people do not directly hit their heads. Bleeds like these are more common in elderly people.
“There are pockets within that population, depending on the exact characteristics, where you can have better or worse outcomes,” said Robinson, assistant professor in the Department of Neurology and Rehabilitation Medicine in UC’s College of Medicine. “And one of the reasons why some people are more likely to develop these than others is related to whether they’re on medications that thin their blood.”
Robinson explained many elderly patients take blood thinners to prevent their risk of a heart attack or stroke. But these same medications put patients at a higher risk for another bleeding event after an initial subdural hematoma.
“One of the key goals of my study is to understand how the risks balance out,” Robinson said. “Should we be most worried about whether they’re going to develop complications like heart attack and stroke, or should we be much more worried about them having future bleeding events and thinking of new ways to reduce their chances of heart attacks and strokes without putting them on blood thinning medication?”
To answer this question, Robinson is utilizing the infrastructure of the Greater Cincinnati Northern Kentucky Stroke Study (GCNKSS) to follow patients with subdural hematomas for three years after initial diagnosis.
“The GCNKSS has been doing this sort of work since 1993, but it’s never included subdural hematomas before,” Robinson said. “The core infrastructure allows us to do the same population research, just expanding it to subdural hematomas.”
With the data collected, the team is aiming to use advanced machine learning to develop predictive models of who’s more likely to have another subdural hematoma and who’s more likely to develop heart attacks and strokes after an initial bleeding event.
“The idea is these advanced machine learning models might help us better assess who really needs to be back on blood thinning medicine as soon as possible and who is at such a risk of bleeding that we probably shouldn’t put them back on a blood thinning medicine,” he said.
This knowledge could lead to a more personalized approach for each patient, and Robinson said this initial data will hopefully lead to randomized clinical trials to confirm which patients should go back on blood thinners.
The next groundbreaking discovery
UC is a powerhouse of discovery and impact as a Carnegie 1 research institution. From pioneering medical research to transformative engineering and social innovation, our faculty and students drive progress that reaches across the world.
Research reported in this publication was supported by the National Institute of Neurological Disorders and Stroke of the National Institutes of Health under Award Number 5K23NS121633-03. The content is solely the responsibility of the authors and does not necessarily represent the official views of the National Institutes of Health.
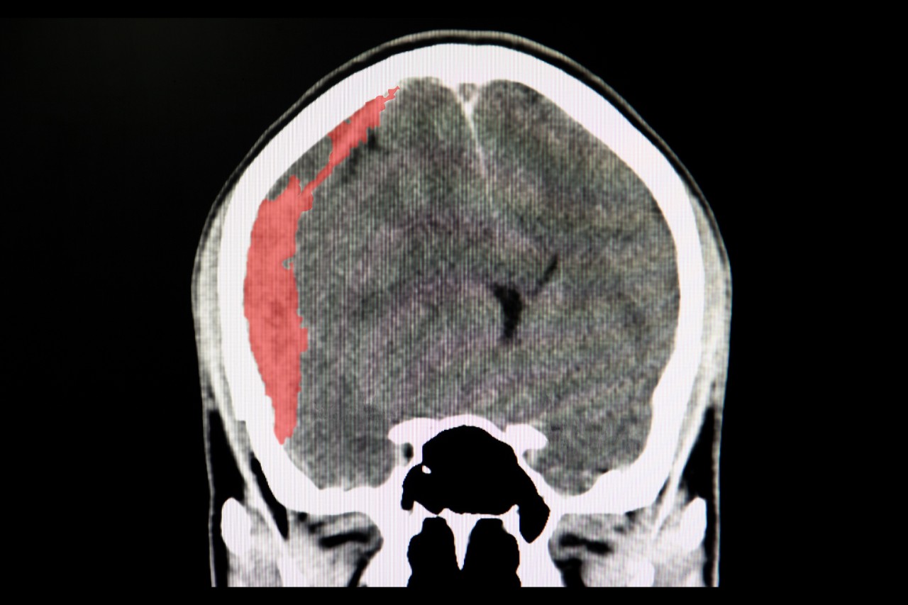
Featured photo at top of a head CT scan displaying a subdural hematoma. Photo/Sopone Nawoot/iStock Photo.
Related Stories
‘Designer drug’ shows early neuroprotective signal in acute ischemic stroke
October 28, 2025
Medscape highlighted new trial results led by the University of Cincinnati's Eva Mistry that found an experimental drug shows promise in protecting injured brain cells for patients with acute ischemic stroke.
UC Board votes to fund design for YMCA renovation
October 28, 2025
At its October 28, 2025 meeting, the University of Cincinnati Board of Trustees approved $5 million in funding to complete all design and pre-construction services required to renovate the interior of a former YMCA building located at 270 Calhoun Street.
Is menstrual fluid ‘the most overlooked opportunity’ in women’s health?
October 27, 2025
The Guardian recently reported that period blood has long been thought of as ‘stinky and useless’, but startups are exploring using the fluid to test for a wide range of health conditions — including endometriosis.