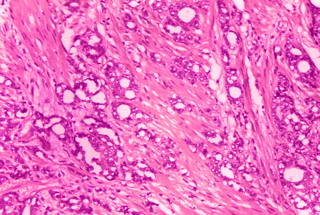
55KRC: Common misconceptions, new developments in prostate cancer
September is Prostate Cancer Awareness Month, and each year approximately 180,000 men are diagnosed with prostate cancer. There are many misconceptions and developments regarding this type of cancer.
Abhinav Sidana, MD, assistant professor of surgery at the University of Cincinnati and director of urologic oncology with UC Health, provides some insight.
Tags
Related Stories
Cincinnati Enquirer: Behind the ventilator, specialists provide breaths for COVID-19 patients
April 21, 2020
Suzanne Bennett, MD, associate professor in the UC College of Medicine and UC Health anesthesiologist and critical care physician, spoke to the Cincinnati Enquirer for a story about ventilators, their operators and their roles in the COVID-19 pandemic. She said the respiratory therapists can be the lifesavers for some COVID-19 patients.